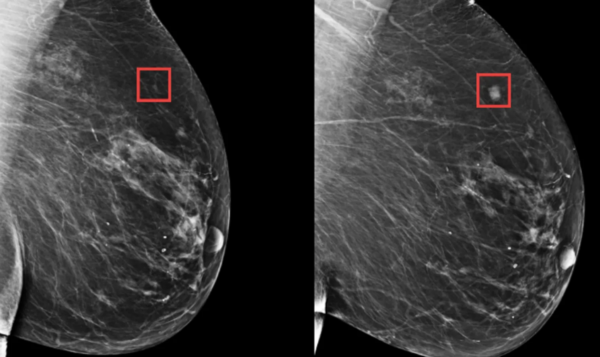
Anualmente se diagnostican alrededor de 2.3 millones de casos de cáncer de mama en todo el mundo, causando la muerte a unas 670 mil mujeres por esta enfermedad. “El cáncer de mama es la principal causa de muerte por cáncer en mujeres, a pesar de los despistajes con mamografías”, afirma Christiane Kuhl, directora del Departamento de Radiología del Hospital Universitario RWTH en Aquisgrán. La experta se refiere a las pruebas en personas sin síntomas, para poder detectar el cáncer en sus etapas iniciales. “La razón es que con la mamografía no podemos detectar tantos casos de cáncer de mama, o mejor dicho, no los detectamos lo suficientemente temprano”, añade. En particular, los tumores de crecimiento rápido y agresivo no suelen ser tan visibles en la mamografía, explica Kuhl. Además, son precisamente esos tumores los que provocan la muerte de muchas mujeres. AVANCE PROMETEDOR Ahora, un nuevo avance tecnológico promete mejorar la detección precoz del cáncer de mama. Se trata de un modelo de Inteligencia Artificial (IA) que con solamente analizar imágenes mamográficas puede clasificar con gran precisión el riesgo de cada persona en desarrollar cáncer de mama durante los próximos cinco años. Las mujeres a quienes el nuevo algoritmo clasificó como de alto riesgo desarrollaron cáncer de mama con mucha más frecuencia que aquellas a quienes la IA dio un resultado de “riesgo normal”. “Concretamente, las mujeres que fueron designadas como de alto riesgo desarrollaron cáncer de mama cuatro veces más a menudo que aquellas cuyo puntaje de la IA era bajo”, señala Christiane Kuhl, la principal autora del informe. “Con esta IA podemos predecir con mucha mayor precisión que una persona determinada desarrollará cáncer de mama en los próximos cinco años, basándonos en mamografías que parecen normales y no muestran ninguna señal de cáncer de mama”, añade la profesora Kuhl. MEJOR QUE LAS MAMOGRAFÍAS Actualmente se recomienda a mujeres de entre 50 y 75 años realizar una mamografía cada dos años para detectar el cáncer de mama. Sin embargo, los riesgos varían considerablemente de una mujer a otra. Christiane Kuhl aboga por una prevención individualizada del cáncer de mama, ya que la precisión de la mamografía también difiere mucho entre las mujeres. Cuanto más denso es el tejido glandular mamario, mayor es el riesgo de padecer esa enfermedad y peor es la capacidad de la mamografía para predecir dicho riesgo. Muchas mujeres desconocen esto, critica Kuhl. Desde hace algunos años se recomienda ofrecer a las mujeres con tejido mamario extremadamente denso una resonancia magnética (RM) para la detección precoz, que ayuda a identificar el cáncer de mama de manera fiable y temprana. Para identificar a las mujeres que necesitan una RM para la detección precoz, el Consorcio Clairity, una asociación internacional de 46 centros de investigación en Estados Unidos, Canadá, Sudamérica y Alemania, ha desarrollado el sistema de IA Clairity Breast. PRECISIÓN EN LA DETECCIÓN PRECOZ Para que el modelo de IA pueda determinar el riesgo de cáncer de mama, el algoritmo fue entrenado con cientos de miles de mamografías procedentes de Norteamérica, Sudamérica y Europa. A diferencia de los modelos clásicos de riesgo, el algoritmo no necesita información sobre antecedentes familiares, genética o estilo de vida. Calcula exclusivamente a partir de la mamografía la probabilidad de cáncer de mama y clasifica a las mujeres en categorías de riesgo según umbrales definidos. La IA no solo reconoce la cantidad de tejido glandular, sino también su textura, es decir, cómo está dispuesto el tejido, otro parámetro que calcula el riesgo de cáncer de mama. “Solo alrededor del 10 por ciento de las mujeres tienen un tejido glandular extremadamente denso”, explica Kuhl. “La mayoría de las mujeres que desarrollan cáncer de mama y reciben un diagnóstico tardío tienen un tejido menos denso”, explica. Para ella, el avance decisivo es que “la IA puede decidir en cuestión de segundos si una mujer necesita una RM para la detección precoz o no”. INICIAR PREVENCIÓN ANTES El despistaje de cáncer de mama comienza en la mayoría de los países a partir de los 50 años, porque el riesgo aumenta significativamente con la edad y el beneficio de un despistaje generalizado a partir de esa edad está estadísticamente demostrado. Las mujeres más jóvenes enferman con menor frecuencia que las mayores, pero cuando lo hacen desarrollan con mayor frecuencia tumores agresivos. “De hecho, las mujeres jóvenes se beneficiarían especialmente de la detección precoz, siempre que esta funcione”, afirma Kuhl. EVALUACIÓN DE RIESGOS DIRIGIDA Christiane Kuhl considera poco útil reducir de forma generalizada la edad de inicio del despistaje. “Si simplemente bajamos la edad de las mujeres invitadas al cribado mamográfico, no estamos cambiando nada del problema fundamental”. En su lugar, aboga por un procedimiento en dos pasos: “Primero la mamografía para la detección precoz; después debería realizarse un análisis mediante IA para determinar el riesgo de enfermedad en los próximos cinco años”. Si el algoritmo indica un riesgo especialmente alto, debe ofrecerse una RM. “En estas mujeres la mamografía ya no es necesaria”, subraya la autora principal Christiane Kuhl. (Texto y fotos: Tomados de DW Español) Compartir Navegación de entradas Reducen ira política bloqueando contenidos en la red X Hallazgo “excepcional” en Egipto revela secreto olvidado