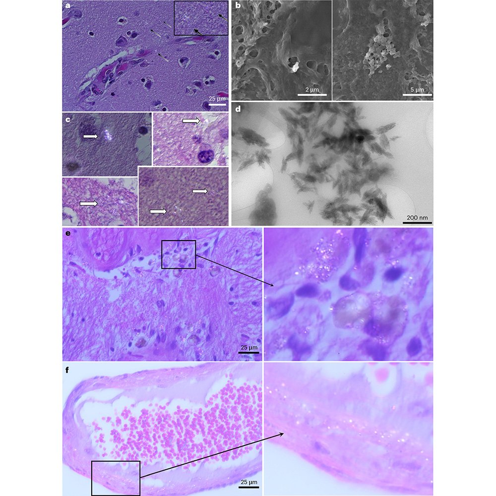
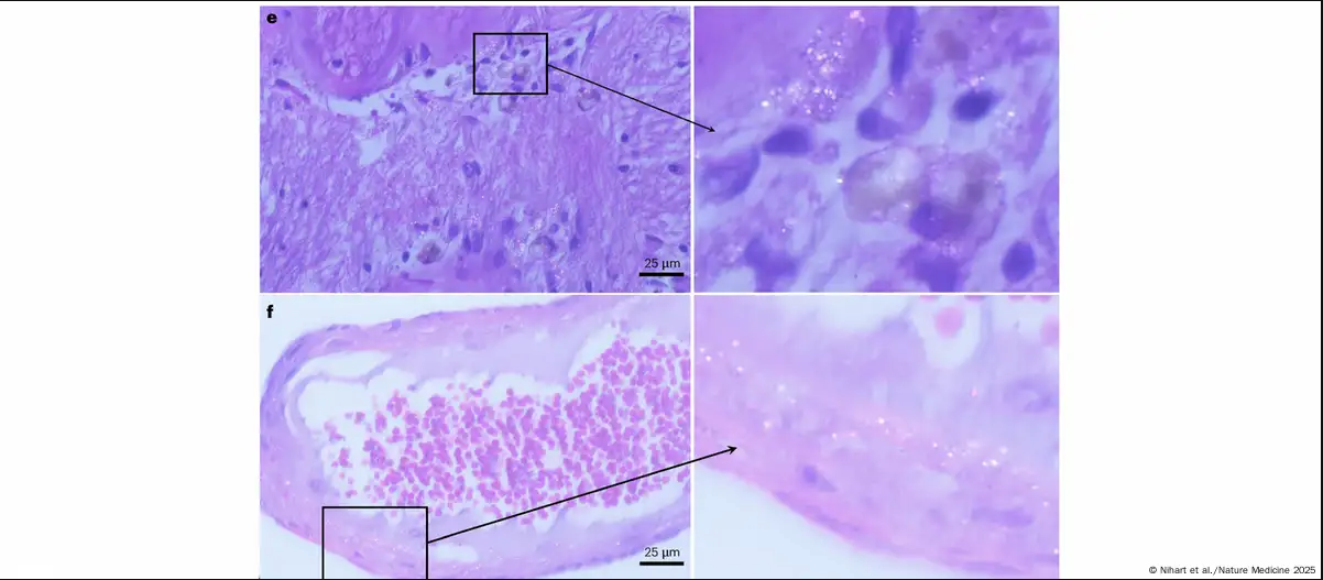
Las partículas diminutas de plástico pueden acumularse en niveles más altos en el cerebro humano que en el riñón y el hígado, con mayores concentraciones detectadas en muestras post mortem de 2024 que en las de 2016, apunta un estudio. Aunque las posibles implicaciones para la salud humana siguen sin estar claras, estos hallazgos ponen de relieve una consecuencia del incremento de las concentraciones globales de plásticos ambientales. Así lo señalan los científicos responsables de la investigación, publicada en la revista Nature Medicine y citada por DW Español. En este sentido, recuerdan que la cantidad de nanopartículas y micropartículas de plástico ha aumentado exponencialmente en los últimos 50 años. HALLAZGOS EN EL TEJIDO CEREBRAL Matthew Campen y su equipo de ciencias de la salud de la Universidad de Nuevo México utilizaron técnicas novedosas para analizar la distribución de micro y nanopartículas en muestras de tejidos hepáticos, renales y cerebrales de personas a las que se practicaron autopsias en 2016 y 2024. Según Campen, las concentraciones de plástico en el cerebro parecían ser más altas que en el hígado o los riñones, y más elevadas que los informes anteriores para placentas y testículos. “Los hallazgos deberían activar la alarma”, afirma. Para llegar a sus conclusiones, los investigadores analizaron un total de 52 muestras de cerebro (28 en 2016 y 24 en 2024); detectaron estas partículas en todas ellas y encontraron concentraciones similares en las muestras de tejidos de hígado y riñón obtenidas en 2016. Sin embargo, las muestras de cerebro tomadas en ese momento, todas derivadas de la región de la corteza frontal, contenían concentraciones sustancialmente más altas de partículas de plástico que los tejidos de hígado y riñón. PEGA TAMBIÉN EL EL HÍGADO El equipo también constató que las muestras de hígado y cerebro de 2024 tenían concentraciones significativamente más altas de micro y nanopartículas de plástico que las de 2016. A continuación, compararon estos hallazgos con los de muestras de tejido cerebral de períodos anteriores (1997-2013) y observaron que había mayores concentraciones de partículas de plástico en las muestras de tejido más recientes. Los científicos vieron asimismo una mayor concentración –10 veces más– de partículas micro y nanoplásticas en 12 cerebros de individuos con un diagnóstico documentado de demencia que en los que no lo tenían. No obstante, sobre esto último, los propios autores señalan que los hallazgos no establecen una relación causal entre las partículas de plástico y los efectos sobre la salud. Asimismo, sugieren que algunas variaciones en las muestras de cerebros podrían deberse a diferencias geográficas, ya que los ejemplares se tomaron en Nuevo México y en localidades de la costa este de Estados Unidos. FALTAN MÁS ESTUDIOS Por eso, dicen, se necesitan más estudios a largo plazo con poblaciones más amplias y diversas para determinar las tendencias de acumulación de micropartículas y nanopartículas y sus posibles implicaciones para la salud. Estos resultados destacan la necesidad crítica de comprender mejor las vías de exposición, absorción y eliminación, y las posibles consecuencias para la salud de los plásticos en los tejidos humanos, en particular en el cerebro, concluyen los investigadores en su artículo. En los últimos años han aparecido diversos estudios científicos sobre microplásticos y el cuerpo humano. La pasada semana, por ejemplo, se publicó en la revista Pregnancy una investigación que indicaba que los microplásticos –menos de 5 milímetros– y los nanoplásticos, invisibles a simple vista, se habían encontrado en altas concentraciones en placentas de bebés nacidos prematuramente, más que en las de aquellos nacidos a término. Y en el pasado se han hallado plásticos, entre otros, en la sección más profunda de los pulmones o en el torrente sanguíneo de los humanos. (Fotos: Tomadas de DW Español) Compartir Navegación de entradas Descubren el mecanismo cerebral que apaga el miedo Gobierno y UG fortalecen expresiones artísticas y culturales