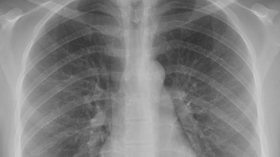
🔊 Escuchar esto La pandemia del Covid-19 sigue abriendo muchas interrogantes. Si bien la mayoría de los pacientes solo experimentan síntomas leves a moderados, hay un grupo de sobrevivientes que nunca se han recuperado. De acuerdo con un nuevo estudio, estos pacientes presentan daño crónico en los pulmones y fatiga crónica. Un equipo de científicos de la Universidad del Sur de California en Los Ángeles (UCLA) comenzó a rastrear a los pacientes con Covid-19, utilizando una tomografía computarizada para examinar sus pulmones. Siguieron a 33 pacientes durante un mes. CICATRICES EN PULMONES Los resultados de su trabajo, que fueron dados a conocer en la revista Nature, muestran que más de un tercio de los pacientes tenían muerte tisular que aparecía como cicatrices en sus pulmones. Los investigadores planean seguir a estos pacientes durante años para determinar los efectos duraderos del Covid-19 en el cuerpo. Según Ali Gholamrezanezhad, radiólogo clínico y parte del equipo, la mayoría de los casos son de leves a moderados y no terminan ingresando en el hospital. Estima que la tasa de daño pulmonar a medio plazo es de menos del 10 por ciento. Sin embargo, dado que hay alrededor de 34 millones de personas en todo el mundo que se infectaron (de acuerdo con el mapa de la Universidad Johns Hopkins), incluso un porcentaje bajo puede implicar que miles de personas experimentan problemas de salud persistentes y duraderos. PREOCUPACIÓN POR ALZA DE CASOS Dado que muchas personas tienen síntomas persistentes, a muchos médicos les preocupa que el número aumente a medida que aumentan los casos. La enfermedad es nueva y nadie tiene idea de sus efectos a largo plazo en el cuerpo. A los médicos les preocupa que el daño a los órganos sea permanente o persista durante meses o incluso años. Tampoco están seguros de si el daño probablemente se deba a tratamientos intensivos, como la intubación, o si es causado por el virus mismo. Sin embargo, a medida que evoluciona la pandemia, muchos estudios nuevos muestran que el virus ataca a muchos órganos, no solo a los pulmones. (Foto: Tomada de Noticieros Televisa) Compartir